Ми - інноваційна стоматологія

Майбутнє стоматологічних технологій тут, з нами

Як ми працюємо ?

вул. Євгена Коновальця, 44Б
clock Робочий час: Пн-Пт: 8:30 - 21:30, Сб: 10:00 - 18:00, Нд: Вихідний
80,000+

пацієнтів, яким
ми допомогли

72

фахівця

164

одиниць медичного обладнання

Нас
обирають

quality
Наші пацієнти з нами більше 20 років.
quality
Перші в Україні почали проводити комплексну діагностику та лікування захворювань скронево-нижньощелепових суглобів.
quality
Ваш план лікування складає команда лікарів після детального вивчення всіх особливостей вашого організму.
quality
Лікарі зі світовим досвідом, що вирішують найскладніші клінічні ситуації.
quality
Повний спектр стоматологічних послуг в одному місці.
quality
Стерильність та чистота у всьому.
quality
Власна зуботехнічна лабораторія з замкнутим циклом

Наша клініка

Ми - інноваційна стоматологія

Професійні
послуги

Ціни на стоматологічні
послуги

Ціни

Ми - інноваційна стоматологія

Наші лікарі

Фахівці високого рівня, що постійно вдосконалюються, вивчають нові методики і застосовують отримані знання та технології у щоденній роботі.

Всі лікарі

Лікар-стоматолог-хірург Вищої категорії, завідувач відділенням

Литвиненко Генадій Вікторович

Спеціалізується на хірургічному прийому – проводить видалення зубів будь-якої складності, хірургічне та не хірургічне лікування тканин, що оточують зуби, імплантацію, кісткову пластику, реконструкцію м’яких тканин, синус-ліфтинг.

Лікар-стоматолог-хірург ІІ категорії

Костянець Юрій Вікторович

Спеціалізується на хірургічному прийому – проводить видалення зубів будь-якої складності, хірургічне та не хірургічне лікування тканин, що оточують зуби, імплантацію, кісткову пластику, реконструкцію м’яких тканин, синус-ліфтинг.

Лікар-рентгенолог Вищої категорії

Мазуренко Ольга Валентинівна

Спеціалізується на проведенні рентгенологічних досліджень: комп’ютерна томографія, ортопантомографія, телерентгенографія.

Лікар-рентгенолог Вищої категорії

Єремєєв Пилип Володимирович

Спеціалізується на проведенні рентгенологічних досліджень: комп’ютерна томографія, ортопантомографія, телерентгенографія.

Лікар-рентгенолог Вищої категорії, завідувач відділення

Новак Тетяна Григорівна

Спеціалізується на проведенні рентгенологічних досліджень: комп’ютерна томографія, ортопантомографія, телерентгенографія.

Лікар-стоматолог ендодонтист терапевтичного відділення

Опанасюк Наталія Сергіївна

Спеціалізується на терапевтичному прийомі із застосуванням сучасного мікроскопу: лікування кореневих каналів, апікальна хірургія.

Лікар-стоматолог

Зайцев Віталій Анатолійович

Спеціалізується на терапевтичному прийомі – надання ендодонтичної допомоги з використанням операційного мікроскопу та конусно-променевого комп'ютерного томографу, видалення зламаних інструментів із кореневих каналів, закриття перфорації зуба, діагностика стану кореневих каналів.

Лікар-анестезіолог Вищої категорії, лікар-анестезіолог дитячий, завідувач відділенням

Сторчеус Віктор Володимирович

Забезпечує безболісне та безпечне лікування зубів під час медикаментозного сну та загального знеболення.

Лікар-анестезіолог Вищої категорії, лікар-анестезіолог дитячий

Борисова Валентина Іванівна

Забезпечує безболісне та безпечне лікування зубів під час медикаментозного сну та загального знеболення.

Лікар-стоматолог

Зайцева Оксана Миколаївна

Спеціалізується на естетичній реставрації зубів.

Лікар-анестезіолог Вищої категорії

Галієв Олександр Владиславович

Забезпечує безболісне та безпечне лікування зубів під час медикаментозного сну та загального знеболення.

Лікар-анестезіолог Вищої категорії, лікар-анестезіолог дитячий

Маркевич Олена Валентинівна

Забезпечує безболісне та безпечне лікування зубів під час медикаментозного сну та загального знеболення.

Лікар-стоматолог

Ольшевська Катерина Юзифівна

Спеціалізується на лікування та діагностиці захворювань тканин пародонту.

Лікар-стоматолог-ортопед, завідувач відділенням

Якименко Олександр Анатолійович

Спеціалізується на ортопедичному прийомі – проводить комплексну діагностику. Здійснює повне анатомічне та функціональне відновлення зубних рядів за допомогою коронок, вкладок, вінірів.

Лікар-стоматолог-ортопед Вищої категорії

Федоренко Світлана Миколаївна

Спеціалізується на ортопедичному прийомі – проводить комплексну діагностику. Здійснює повне анатомічне та функціональне відновлення зубних рядів за допомогою коронок, вкладок, вінірів.

Лікар-стоматолог дитячий І категорії

Дубровіна Тетяна Владиславівна

Спеціалізується на дитячому прийомі: лікування зубів будь-якої складності та профілактика захворювань зубів у дітей.

Лікар-стоматолог-терапевт Вищої категорії

Вавілов Андрій Петрович

Спеціалізується на терапевтичному прийомі – надання ендодонтичної допомоги з використанням операційного мікроскопу та конусно-променевого комп'ютерного томографу, видалення зламаних інструментів із кореневих каналів, закриття перфорації зуба, діагностика стану кореневих каналів.

Лікар-стоматолог-ортодонт І категорії, кандидат медичних наук. Член асоціації ортодонтів України. Сертифікований лікар-ортодонт системи «Ínvisalign»

Опанасюк Анастасія Сергіївна

Спеціалізується на ортодонтичному лікуванні – виправлення прикусу у дорослих та створення умов для правильного росту і розвитку прикусу у дітей.

Ми - інноваційна стоматологія

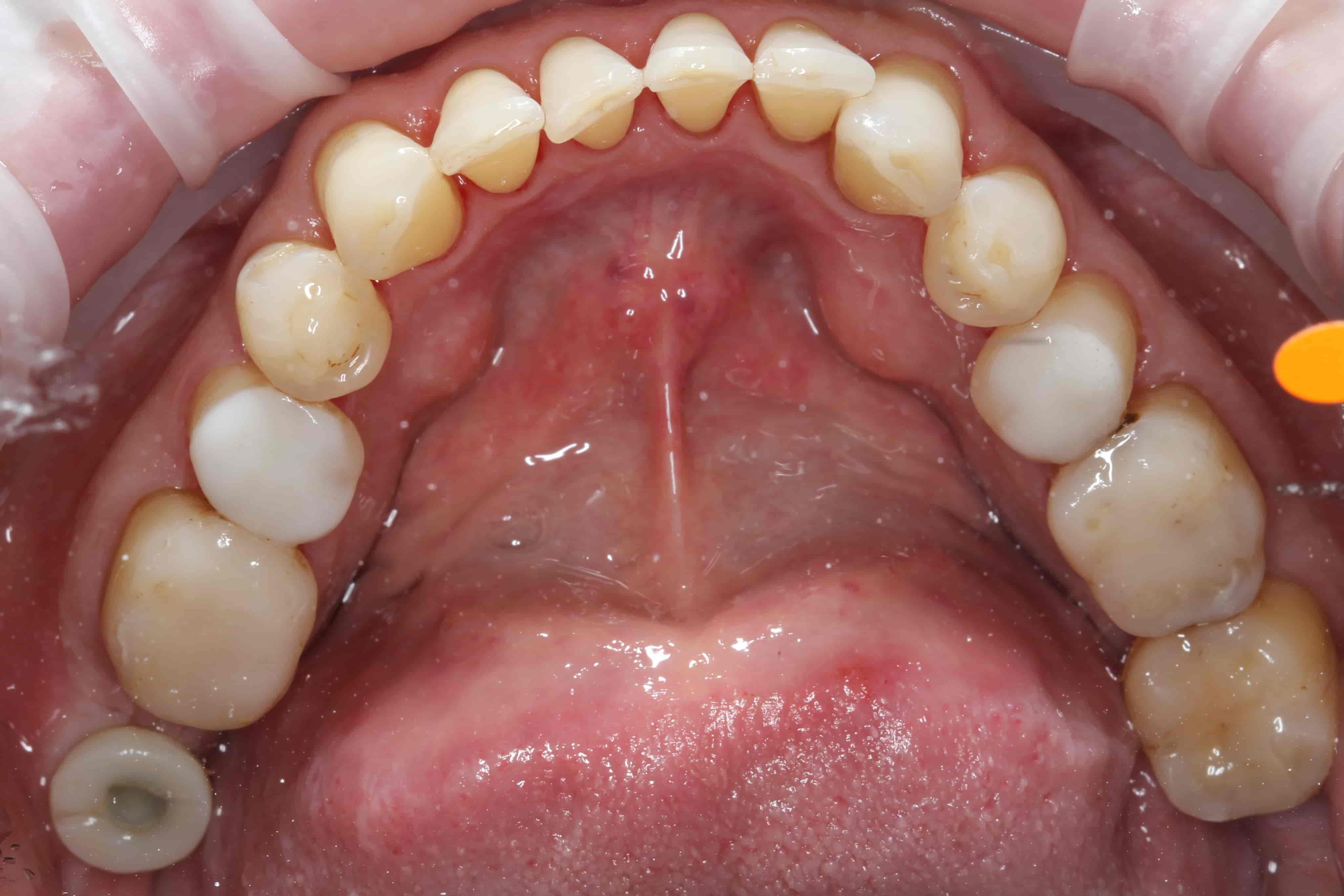
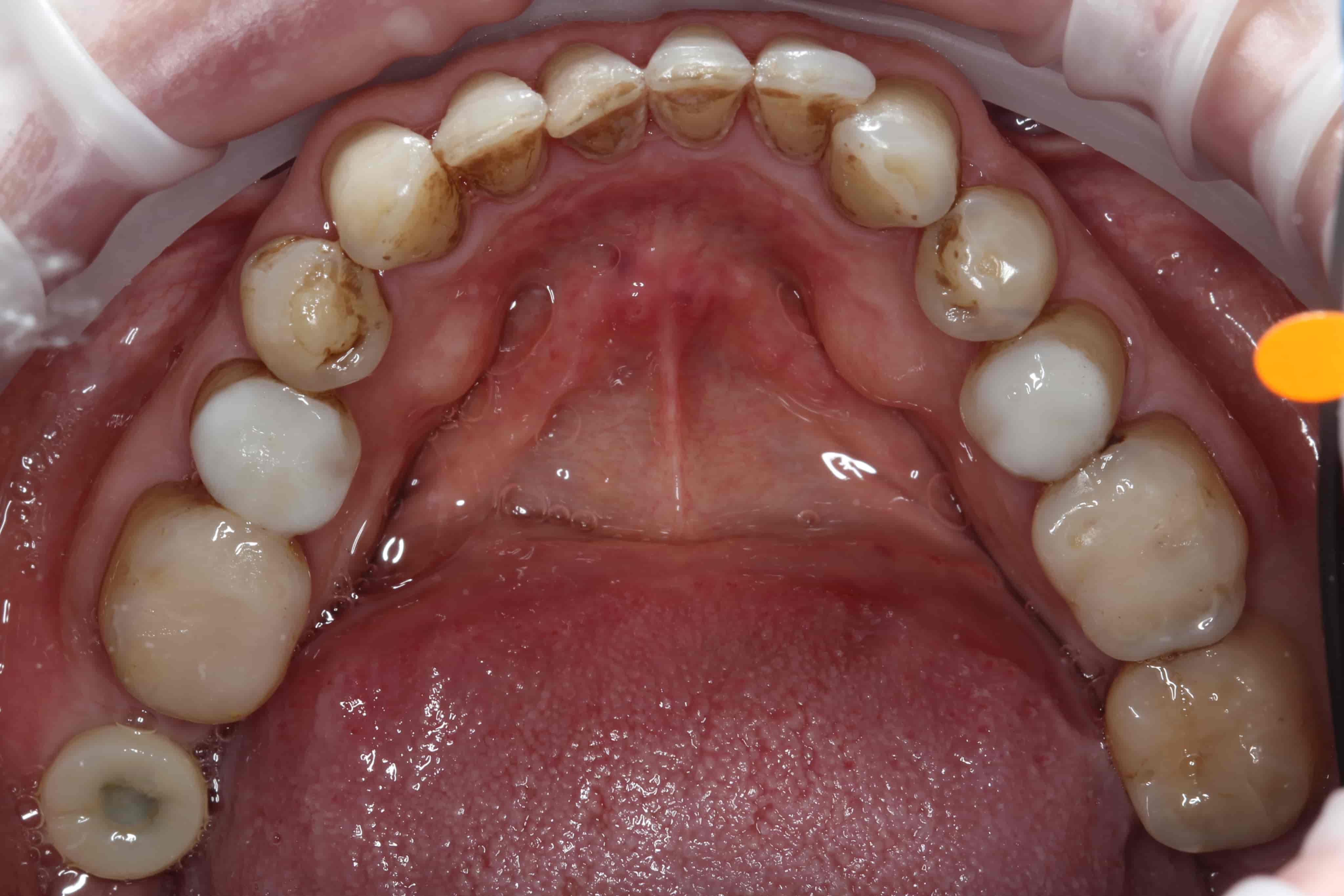
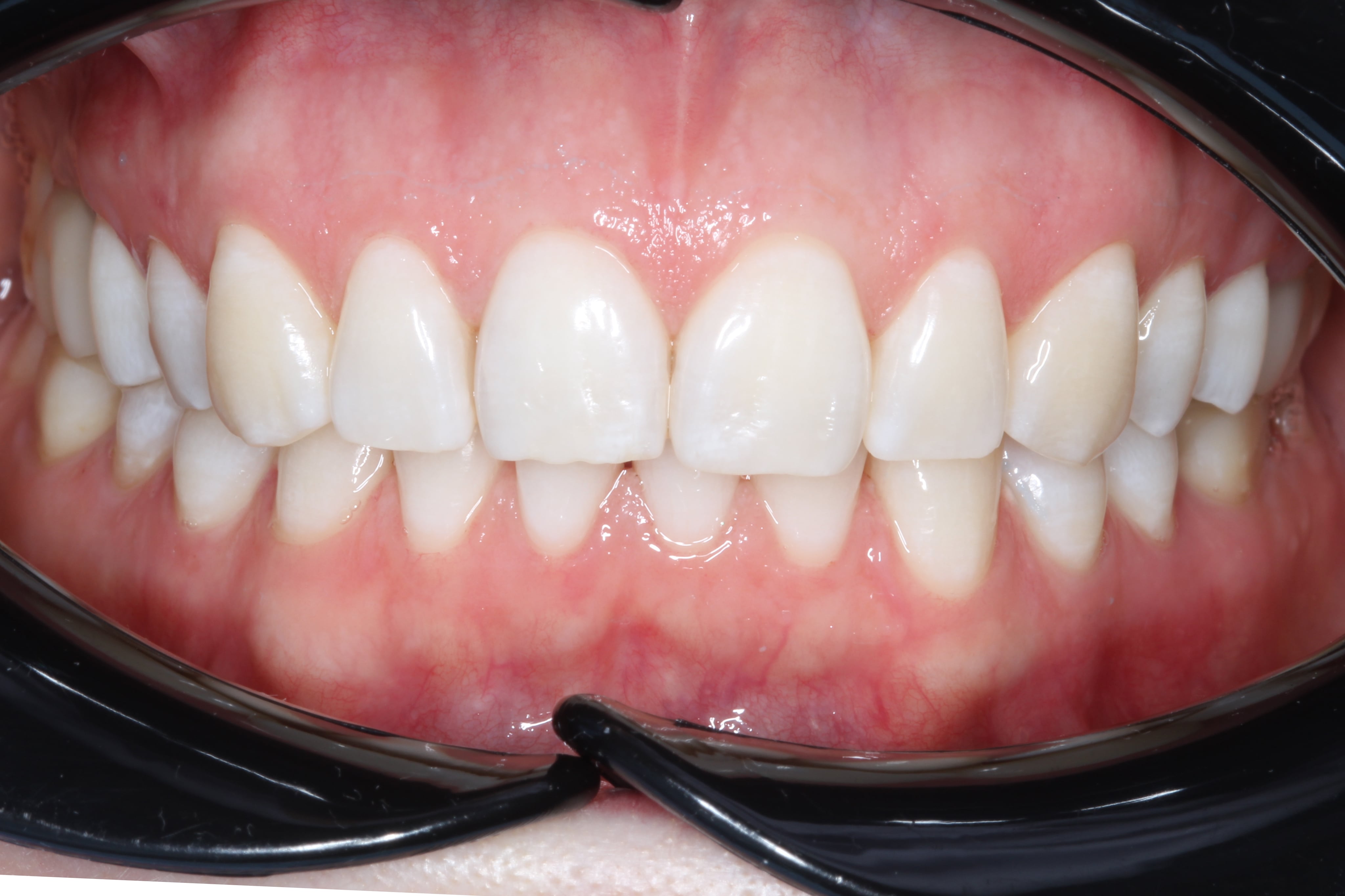
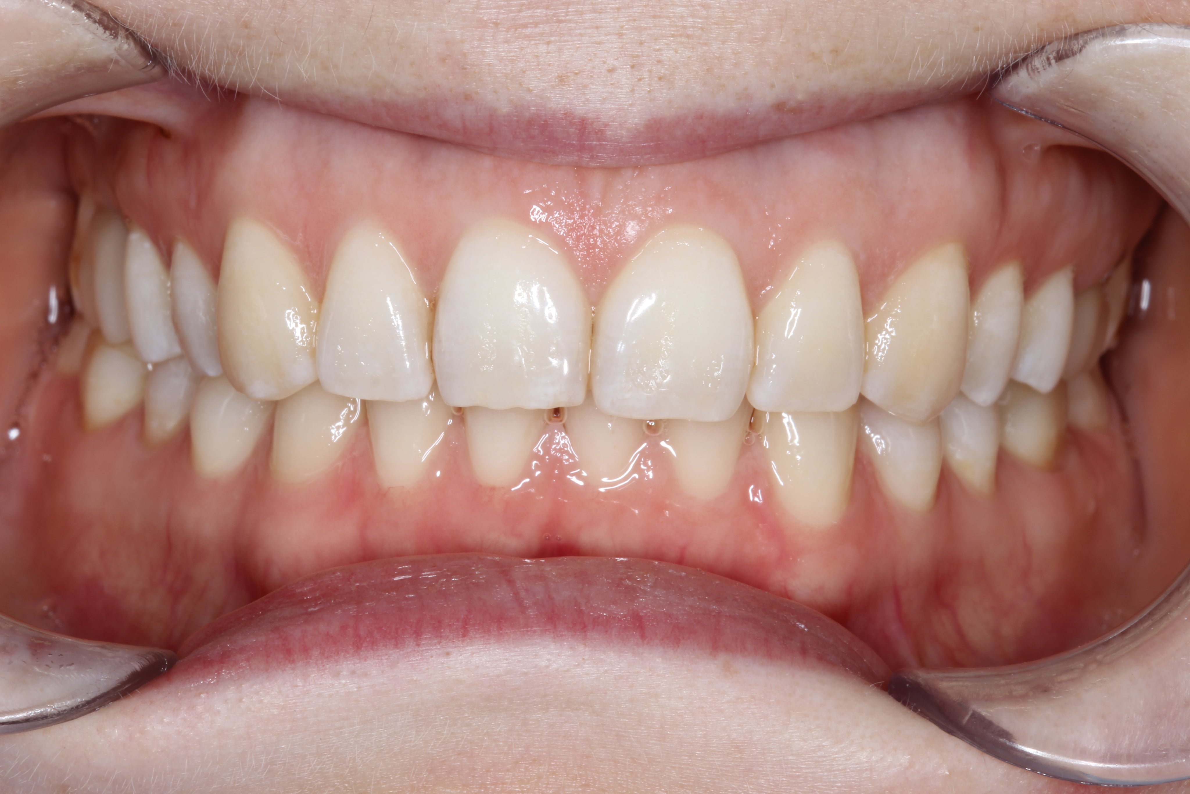
Роботи наших лікарів

Наші лікарі володіють високим рівнем професійної підготовки і постійно вдосконалюють свої навички, щоб надавати вам найкращу стоматологічну допомогу.