Освіта:

• 2017 - закінчила ДВНЗ «Тернопільський державний медичний університет ім. І.Я. Горбачевського МОЗ України» за спеціальністю «Стоматологія».

• 2019 - закінчила інтернатуру на базі НМАПО імені П.Л. Шупика за спеціальністю стоматологія

Проходження курсів, участь в семінарах, майстер-класах, конференціях:

• 2017 – Міжнародна стоматологічна конференція молодих вчених (м. Ужгород);

• 2019 – «Професійна гігієна порожнини рота», Pro-Dent Training Center;

• 2019 – «Рецессия десны. Резать нельзя ждать. Где поставить запятую», Stom Academy;

• 2020 – Основи ручного скейлінгу. Школа практичної пародонтології;

• 2021 – «Індивідуальна гігієна пацієнтів в період реабілітації після хірургічних втручань», White Dental;

• 2021 – «Як уникнути ризиків та ускладнень? Особливості професійної гігієни у вагітних», Dentsply Sirona Academy;

• 2021 – Програма індивідуальної гігієни і профілактики у пацієнтів з імплантатами;

• 2021 – «Проблеми гігієни у дітей», White Dental;

• 2021 – онлайн-семінар «Зубні щітки. Мануальна класика vc електрична сучасність»;

• 2021 – онлайн-семінар «Навігація в міжзубному чищенні»;

• 2021 – онлайн-семінар «Менеджмент чутливості»;

• 2021 – онлайн-семінар «Програма індивідуальної гігієни і профілактики у пацієнтів з імплантатами»;

• 2021 – онлайн-семінар «Як вирішується доля періо-пацієнтів»;

• 2021 – онлайн-семінар «Проблеми гігієни у дітей. Звички і навички дітей, які запобігають втраті зубів у дорослих»;

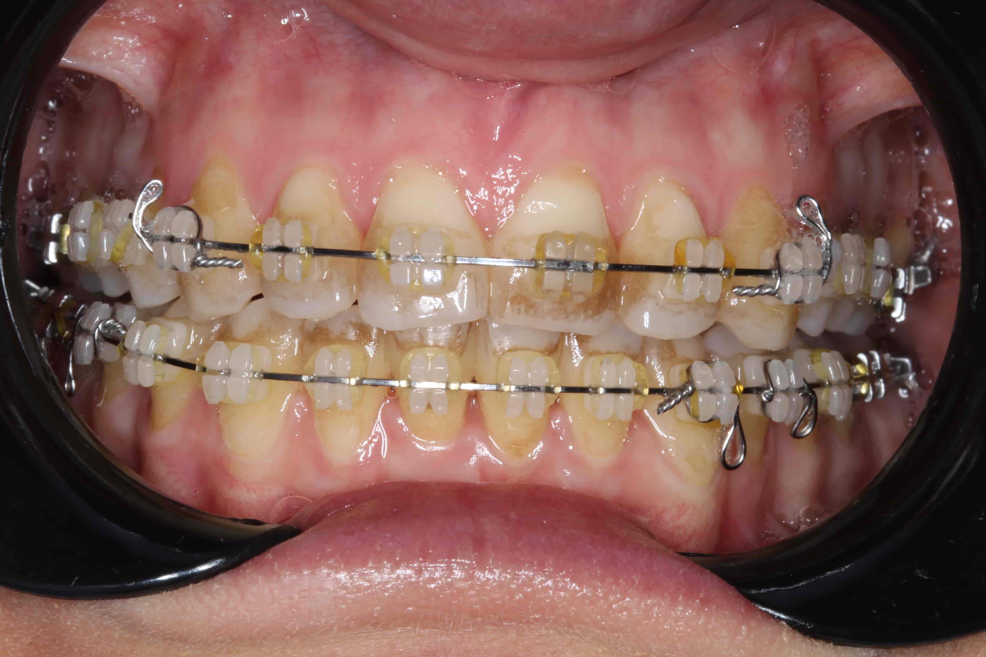
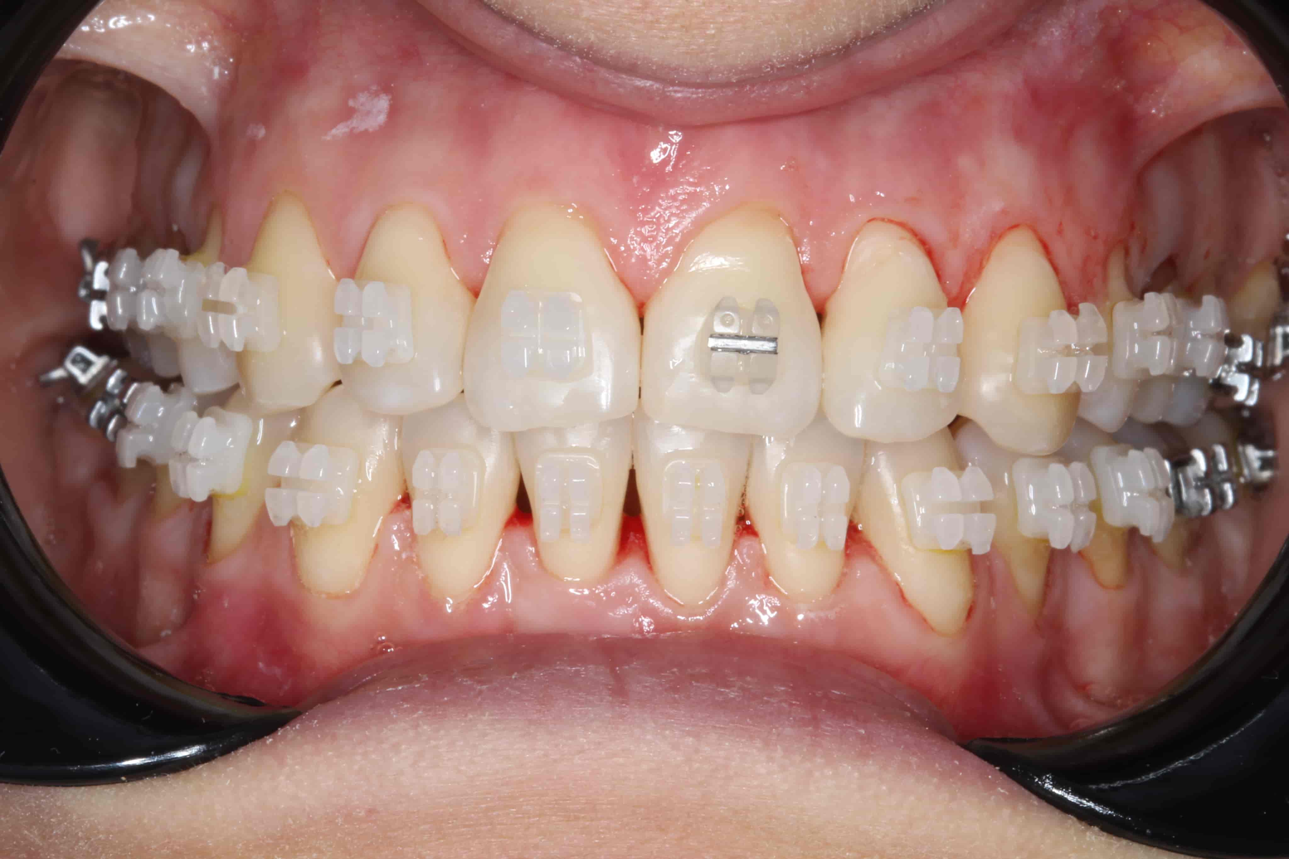
• 2021 – онлайн-семінар «Гігієна ротової порожнини у пацієнтів з брекетами і елайнерами. Сучасний погляд»;

• 2021 – онлайн-семінар «Пародонтит і діабет»;

• 2021 – онлайн-семінар «Професійна гігієна та домашній догляд: протоколи і досвід Гонконгу»;

• 2021 – онлайн-семінар «Точка зору лікаря-імунолога на місцевий імунітет слизової порожнини рота»;

• 2021 – онлайн-семінар «Мотивувати чи призначати!? Ось в чому питання».

Спеціалізація

quality
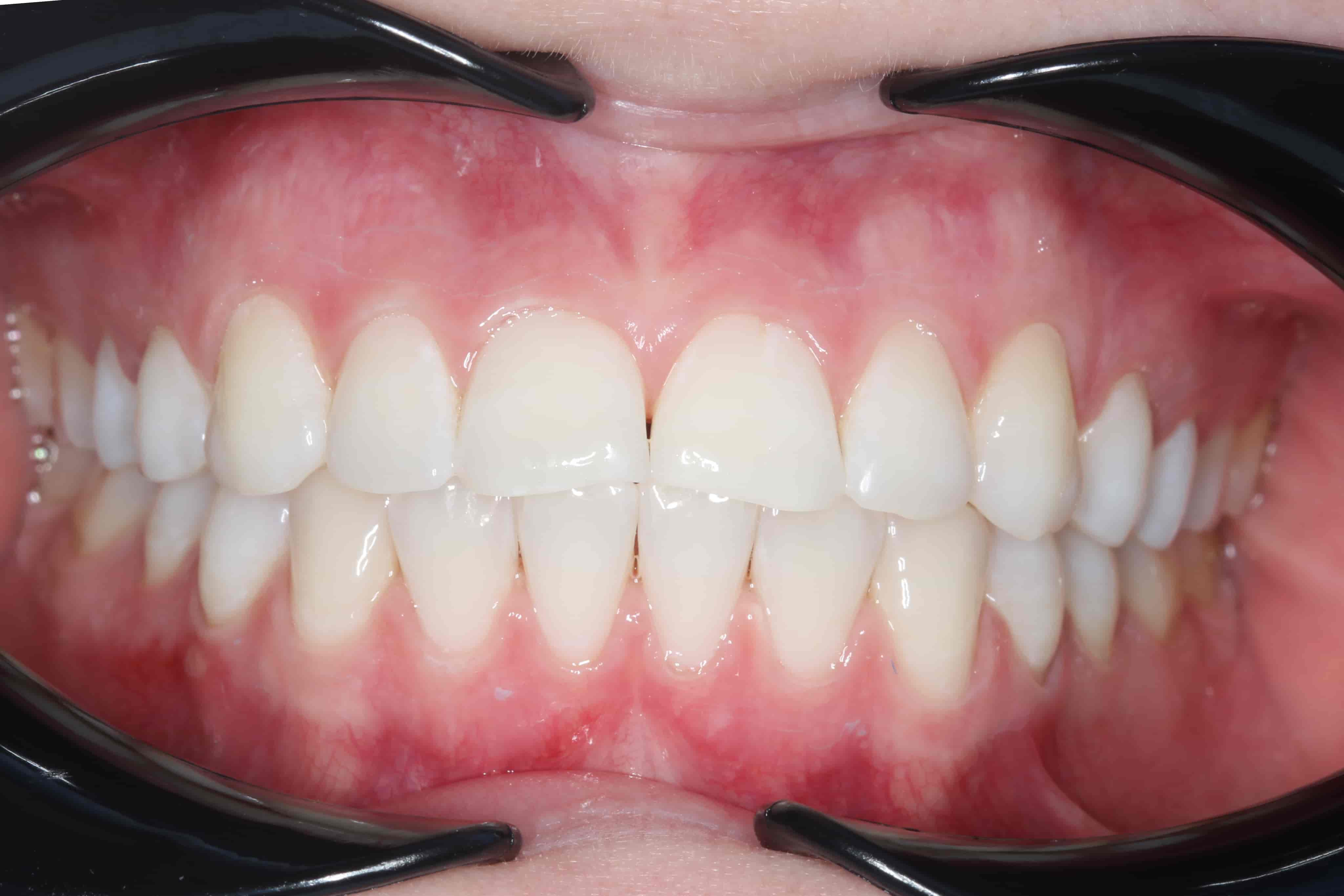
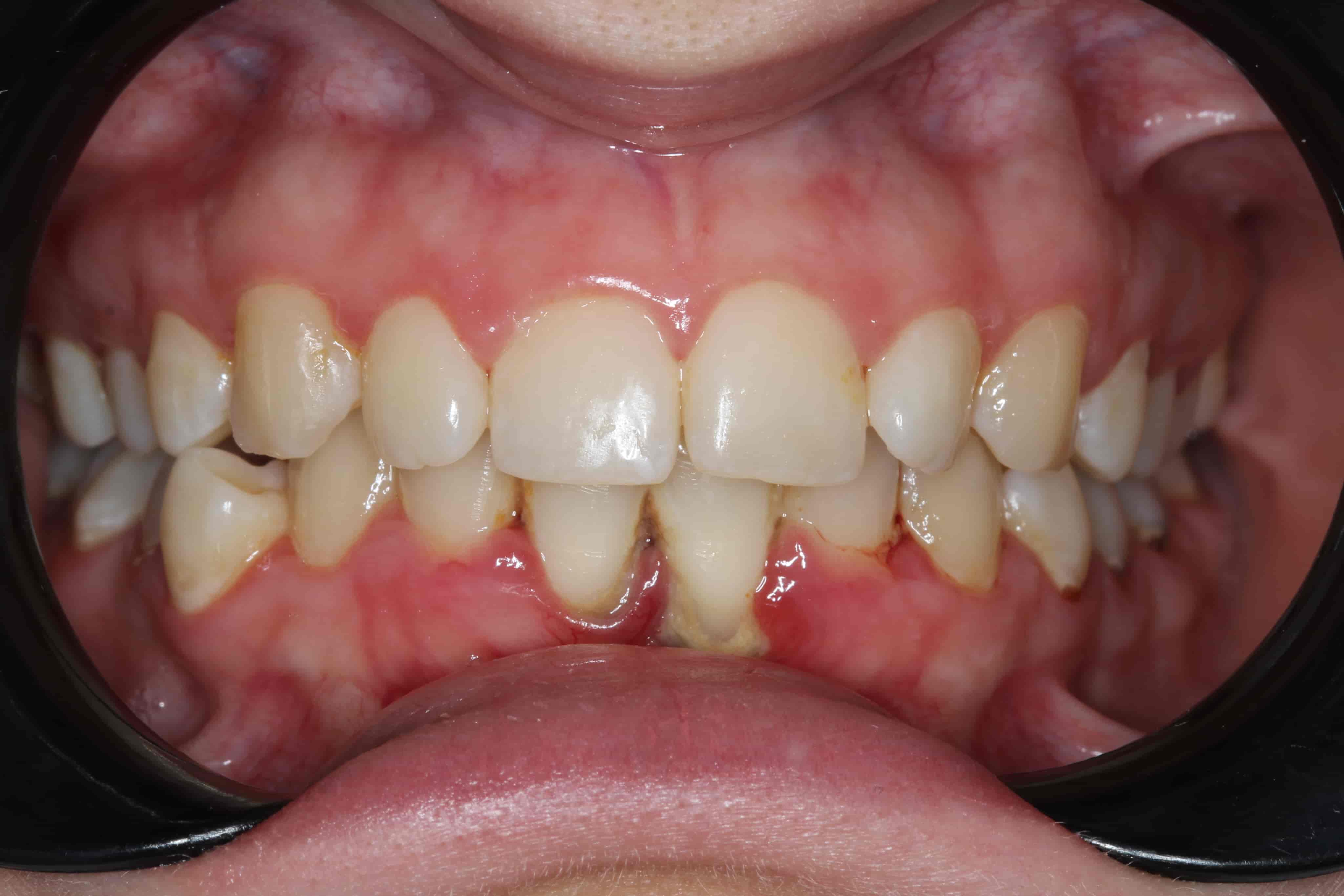
Діагностика та лікування захворювань тканин пародонту

Маніпуляції

quality
Над’ясеневий скейлінг;
quality
Під‘ясеневий скейлінг;
quality
Діагностика карієсу за допомогою новітньої системи DiagnoCam;
quality
Лікування некаріозних уражень твердих тканин зубів;
quality
Місцева фторизація емалі;
quality
Лікування гіперчутливості емалі;
quality
Лікування захворювань слизової оболонки порожнини рота за допомогою ербієвого лазера та озону;
quality
Відбілювання зубів за допомогою сучасної системи Beyond Polus.
Кожен пацієнт лікаря отримує максимум турботи та уваги. Дбайливе ставлення та індивідуальний підхід зроблять Ваш візит комфортним та максимально ефективним. Здоров’я пацієнта – прерогатива лікаря, тому постійне вдосконалення теоретичних знань та професійних навичок це спосіб і стиль життя.

Професійне кредо лікаря:
«Зробити все і навіть більше, щоб Ви посміхалися частіше».

Роботи

Сертифікати