Рентген діагностика

Дослідження внутрішніх структур тіла людини різними методами за допомогою рентгенівського випромінювання. В стоматологічній практиці нашого медичного центру для діагностики та контролю якості лікування ми використовуємо наступні методи:

Конусно-променева комп’ютерна томографія

Дослідження, яке надає тривимірні дані, що позбавляє цей метод недоліків рентгенографії, оскільки відсутні проєкційні накладання та спотворення, характерні для двовимірних досліджень. Променеве навантаження при КПКТ більше, ніж під час інших досліджень для стоматологічних потреб, але при цьому воно надає незрівнянно більше достовірної інформації. Крім того, сучасне обладнання дозволяє максимально зменшити дозове навантаження за рахунок зменшення розмірів ділянки обстеження та зміни параметрів експозиції відповідно до мети обстеження.

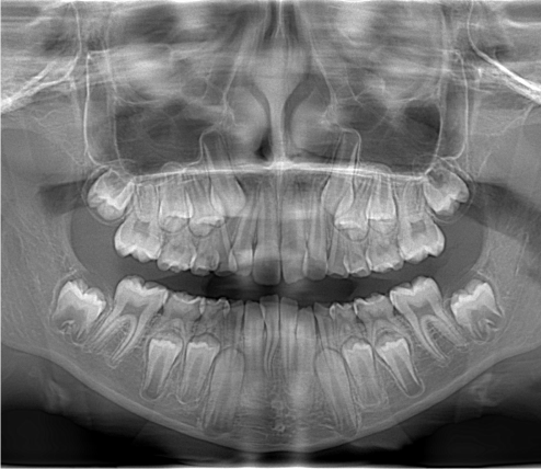
Панорамна томографія (ортопантомографія)

Метод дослідження, що забезпечує візуалізацію елементів зубощелепного апарату за допомогою спеціального пристрою – ортопантомографа. Метод дає загальну інформацію про стан зубів та кісткової тканини щелеп з відносно мінімальним променевим навантаженням. Проте в багатьох випадках проєкційні накладання та спотворення зменшують достовірність отриманої інформації та ускладнюють аналіз зображення.

Телерентгенографія голови

Цей метод дозволяє отримати зображення черепа в прямій або боковій проєкції, що, в свою чергу, дає змогу лікарю дослідити будову зубощелепного апарату, виявити порушення і прогнозувати ефективність лікування на кожному з його етапів. Ці аналітичні дані (кефалометрія) необхідні для якісного ортодонтичного втручання.

Внутрішньоротова рентгенографія

Цей тип дослідження передбачає отримання зображення невеликої ділянки щелепи на плівку або сенсор радіовізіографа (RVG). Інколи цей метод називають прицільним знімком. Його перевагами є доступність і найменша доза опромінення у порівнянні з іншими видами досліджень. Серед недоліків: певний дискомфорт для пацієнта (при розташуванні сенсора чи плівки в ротовій порожнині) та виражене погіршення якості діагностичної інформації від найменших помилок під час виконання дослідження.

Направлення на обстеження для пацієнтів з інших клінік:

Завантажити

Зворотній дзвінок

Можете замовити зворотній дзвінок або ж зателефонувати нам за цим номером

Години роботи

Пн-Пт: 8:30 - 21:30

Сб: 10:00 - 18:00

Нд: Вихідний